OFFICE SERVICES
If you have to have surgery, you can save thousands of dollars by having surgery in the doctors at North County Foot & Ankle Specialists' dedicated operating room located in his office. This is especially true if you don’t have insurance or if you have a high deductible. The reason being, that the cost of a surgery center or hospital is many more times than the actual surgical fee. The cost of most surgeries is not much more than a month or two of an insurance premium.
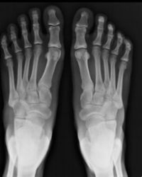
SPECIALTY X-RAY MACHINES

We have a special X-Ray machine that allows us to perform “weight bearing” X-Rays or “standing” X-Rays of the foot and ankle right in the office. Weight bearing X-Rays are very important in accessing the true structure of your foot. The typical X-Ray machine used by hospitals and large clinics don’t have the ability to take a true “weight bearing” X-Ray.
ORTHOTIC LAB
Our office has an orthotic lab where we can make alterations and adjustments on the spot to your shoe and orthotic or make a temporary orthotic on the spot for you.







